Jump to content

Radiology: LGN

Featured Replies

Hello everyone

 

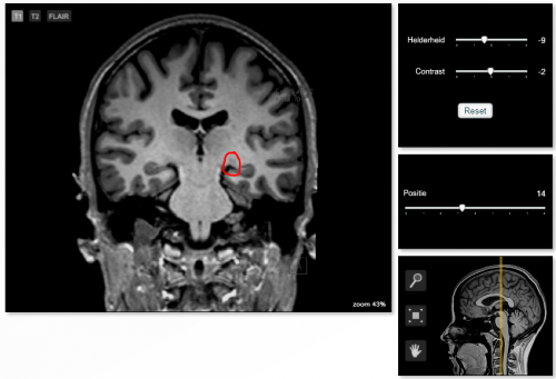
Our professor of neuroradiology told us that on the images they provided us, the lateral geniculate nucleus can't be found.

 

So what's the thing I put a circle around then on the image below? I would ask him, but suggesting that that would be the LGN would mean suggesting he is wrong. Should I be wrong, then it would be very much out of my place to suggest he is wrong. He's the radiologist, after all!

 

It's near the quadrigeminal plate (a bit more rostral and, of course, more lateral) which might suggest that that is indeed the LGN.

 

Thanks!

 

F

 

post-100256-0-78710800-1445450082_thumb.png

Edited by Function

  • 2 months later...

I'm not qualified to give an answer since I'm not a radiologist, but you can see the entire thalamus next to the third ventricle. So why not the LGN? Unless it's a super small nucleus - I can't quote the exact dimensions of the LGN, but I can't imagine it would be microscopic given all the fibres that need to relay from the retina. It's like, optic nerve, optic chiasm, optic tract, then poof, gone.

 

Maybe what your professor meant was it's hard to distinguish the LGN from the rest of the thalamus? If you have found the tectum and there seems to be a lump of grey matter... Maybe. You need a second opinion.

  • Author

Thank you for your answer. Indeed, it is most probably the left LGN.

 

I kind of misunderstood him, interpreting that it could not be found on the scans given to us.

 

The message I misunderstood he tried to spread was that they failed to outline the LGN (they forgot it or whatever), so it could not be highlighted in the program we're using to see these scans, nor could it be found in the index with structures which can be highlighted :)

 

My apologies!

Ah that explains it. All the best for your upcoming exam! Merry Christmas and Happy New Year :,)

Edited by Xalatan

  • Author

Exam is on 11 January ^^ The neuroradiological part is rather small and relatively - very easy :) For you the same! Happy holidays!

Archived

This topic is now archived and is closed to further replies.

Important Information

We have placed cookies on your device to help make this website better. You can adjust your cookie settings, otherwise we'll assume you're okay to continue.

Configure browser push notifications

Chrome (Android)
  1. Tap the lock icon next to the address bar.
  2. Tap Permissions → Notifications.
  3. Adjust your preference.
Chrome (Desktop)
  1. Click the padlock icon in the address bar.
  2. Select Site settings.
  3. Find Notifications and adjust your preference.