Jump to content

Gram Stain Interpretation

Featured Replies

Hello all,

 

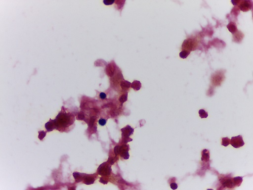
I need help interpreting some observations we have made in our lab from gram stains taken of human lymphocyte cell products that are part of an immunotherapy clinical trial. In our lab we use the gram stain as a quick QC check of the samples before they are to be infused. If any bacterial cells (e.g. GNR or GPC) are observed, the material is rejected.

 

I'm attaching some pics are reference. The first is what we normally observe (homogenous in color with apparent decolorization of crystal violet stain). However, recently we've been observing some darker cells amongst what we normally seen. In some cases, only a portion of the interior of the cells seems to retain the crystal violet stain. Could these be other types of cells? perhaps granulocytes? Improper staining?

 

I'm also including a pic of a large cell that was observed that seems to be some sort of phagocytic cell. Any thoughts as to what this might be?

 

All pics were taken at a 1000X magnification using a light microscope. In addition, our QC controls slides were acceptable in all of these tests.

 

Thank you for your input!

 

 

post-115308-0-64031300-1450558355_thumb.jpg

post-115308-0-04141000-1450558423_thumb.jpg

post-115308-0-21267600-1450558570_thumb.jpg

In the first figure it looks like GNC, my understanding is typically they are Neisseria? Is this discharge or sputum? May be Morexella.

 

I wonder if your second figure is due to changes in staining protocol, but there are other cocci in the background where the crystal violet has washed off. This suggests there is thicker cell wall in a portion of the cells. You may be able to make an educated guess by their clumping morpholgy - diplococci? Grape-like clusters? If it's sputum it could be Strept.

 

The third cell may be a syncytial macrophage? Neutrophils typically have a single nucleus that is polymorphic, but these look multinuclear. Also I don't see any granules that are characteristic of granulocytes.

 

If you are saying any GPC is rejected... you may wish to get a second opinion to see if those are GPC in the second and third figure.

Edited by Xalatan

Archived

This topic is now archived and is closed to further replies.

Important Information

We have placed cookies on your device to help make this website better. You can adjust your cookie settings, otherwise we'll assume you're okay to continue.

Configure browser push notifications

Chrome (Android)
  1. Tap the lock icon next to the address bar.
  2. Tap Permissions → Notifications.
  3. Adjust your preference.
Chrome (Desktop)
  1. Click the padlock icon in the address bar.
  2. Select Site settings.
  3. Find Notifications and adjust your preference.