Skip to content

Identification

Featured Replies

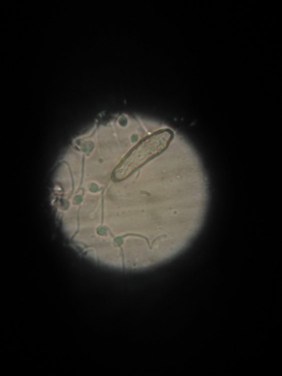
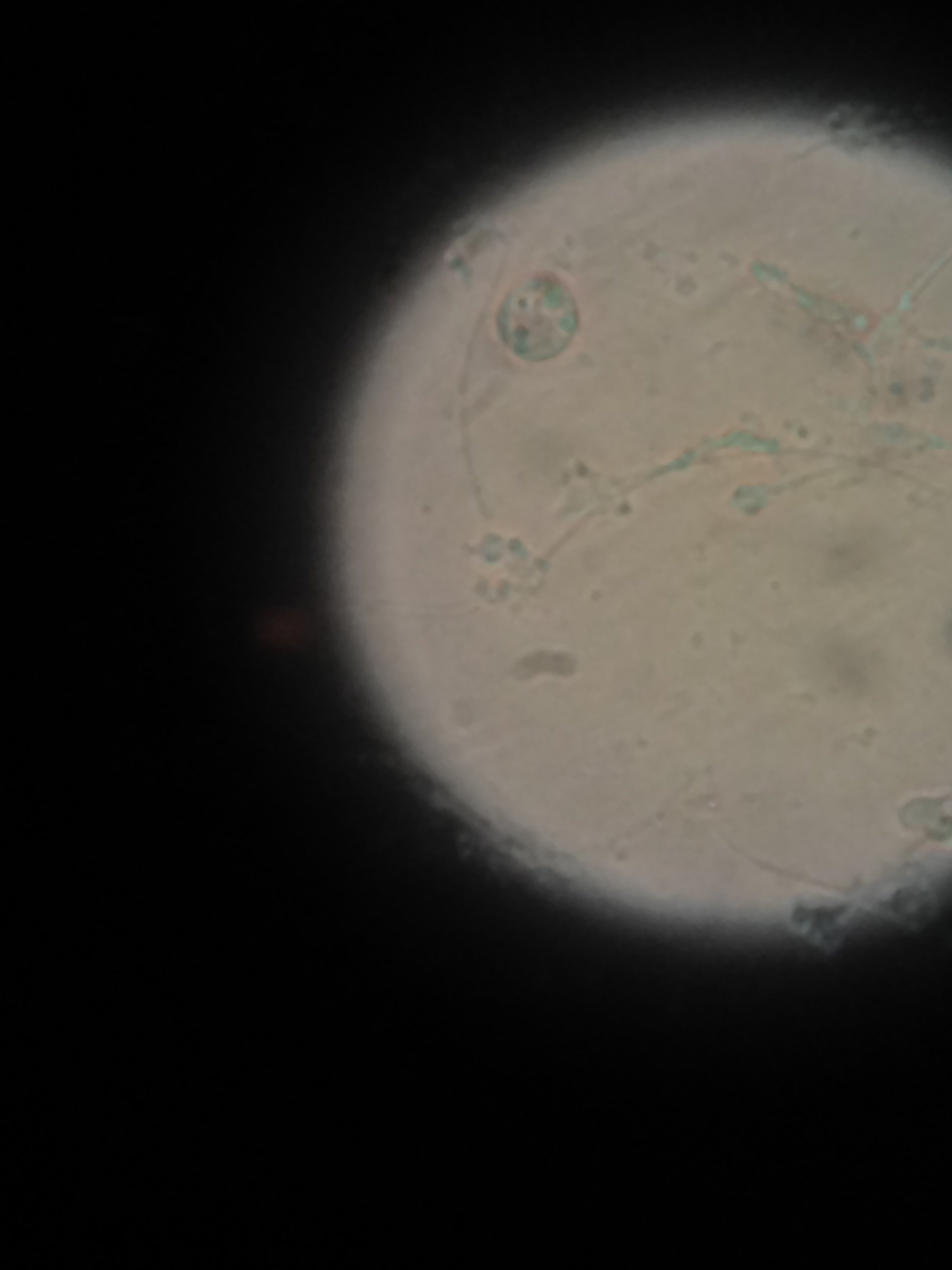
I suspect these are amoeba's. In sperm. Am I right? Can somebody confirm this please. 

Not great pictures but the best I could make.

IMG_1240.JPG

IMG_1241.JPG

IMG_1243.JPG

IMG_1244.JPG

IMG_1245.JPG

Archived

This topic is now archived and is closed to further replies.

Important Information

We have placed cookies on your device to help make this website better. You can adjust your cookie settings, otherwise we'll assume you're okay to continue.

Account

Navigation

Search

Search

Configure browser push notifications

Chrome (Android)
  1. Tap the lock icon next to the address bar.
  2. Tap Permissions → Notifications.
  3. Adjust your preference.
Chrome (Desktop)
  1. Click the padlock icon in the address bar.
  2. Select Site settings.
  3. Find Notifications and adjust your preference.